カシオ計算機オフィシャルサイトへ
D'z IMAGE STORE

この先は、弊社医療用製品や医療に関する情報を、医療関係者へ提供することを目的としております。
一般のお客様への情報提供目的ではありません。

あなたは医療関係者ですか?

ご職業:
お勤め先:
はい
いいえ

高度管理医療機器等販売業の許可をお持ちの販売店様はこちらの専用ページをご利用ください

販売店様専用ページ
子宮頸部観察/撮影用デジタルカメラ コルポカメラ

子宮頸部の撮影を
はやく、簡単に、精細に

子宮頸部観察/撮影用デジタルカメラ コルポカメラ 観察
記録

657,800円(税込)

一般医療機器(クラスⅠ)特定保守管理医療機器
医療機器届出番号:06B2X10006000003

臨床現場の声から生まれた子宮頸部観察/撮影用デジタルカメラ。
カシオ独自のカメラ技術・画像処理技術により
子宮頸部観察に役立つ機能をこの一台に集約。
ライティングと撮影機能を一つにすることで
臨床現場に適した小型化を実現しました。
手軽に扱える診療ツールとして医師をサポートします。

カメラスタンドで

操作性・利便性を、徹底追求

コルポカメラとコンパクトかつ利便性を追求したスタンドを
一緒に使うことにより操作性が高まります。

機能詳細

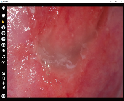
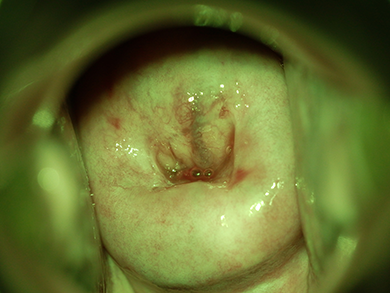
ワンシャッターで 通常光/グリーン光/偏光

ワンシャッターで通常光/グリーン光/偏光の3種類の画像が撮影可能です。

通常光

通常光

白色のライトを当てて、単純診を行うことができます。

グリーン光

グリーン光

緑色のライトを当てることで、血管所見が観察しやすくなります。(±3段階調整可能 写真は±0)

偏光

偏光

表面の反射を抑え、子宮頸部内面の状態を観察しやすくします。

液晶モニターを活用して
観察・撮影を、より素早く簡単に

液晶モニターのタッチ操作で観察部位にピントを合わせることができます。
ピントを合わせた画像を液晶モニター上で拡大することができ、撮影することが可能です。

ピント合わせが簡単
タッチフォーカス機能

液晶モニター上でタッチした領域にピントを合わせる機能です。タッチした位置にフォーカスフレームが移動するため、中央部以外にもピントを合わせることができます。

見たい場所を容易に拡大
画像拡大/ズーム機能

ピントを合わせた位置を中心にズームボタンで拡大することができます。

液晶モニター上で素早く タッチ操作機能

液晶モニターのタッチ操作で撮影することができます。また、動画撮影では録画の開始/停止、ピント合わせ位置の変更ができ酢酸加工診などの変化する様子を記録することができます。

見やすい 角度調整

撮影する部位や場所に応じて液晶モニターを見やすい角度に調整することができます。

観察の過程を記録 動画撮影

酢酸加工診の様子を動画で記録できます。

外部モニターに投影 HDMI接続

HDMIで大画面モニターやプロジェクターなどに接続すると、撮影中の画像をリアルタイムで映すことができます。また撮影したあとの画像を映すこともできます。患者への説明やカンファレンスなどに便利です。

主な仕様

型番 DZ-C100
価格 ¥657,800(税抜¥598,000)
有効画素数 5184×3888 約2016万画素
撮像素子 1/2.3型CMOS(裏面照射型)
総画素数 5352×3950 約2114万画素
画像ファイル 形式 静止画 JPEG(Exif Ver2.3、DCF2.0準拠、DPOF未対応)
記録画素数:20M(5184×3888)
12M(3968×2976)
5M(2560×1920)
動画 MOV形式、H.264/AVC準拠、IMA-ADPCM音声(モノラル)
記録画素数:1600×1200(UXGA)、30fps
メモリーカード SDメモリーカード
SDHCメモリーカード
SDXCメモリーカード
記録容量 静止画

メモリーカード
16GB

約1860枚
動画

最大
ファイルサイズ

1回の撮影につき最大1.4GB(動画時間約10分)

メモリーカード
16GB

約1時間55分
ズーム デジタルズーム8倍、ズーム分解能:0.1倍
ISO感度(標準出力感度) オート
データ転送方式 Wi-Fi/micro USBケーブル/メモリーカード
通信機能 準拠規格: IEEE 802.11b/g/n
使用周波数範囲: 1~13ch 暗号化方式: WPA2
液晶モニター 3.0型TFTカラー液晶、720×480ピクセル、
1,036,800 ドット(RGB) 静電容量式タッチパネル
外部接続端子 マイクロUSB端子(Hi-SpeedUSB準拠)
マイクロHDMI端子(タイプD)
DCジャック(5V/3A)
電源 専用リチウムイオン充電池(DNP-100M)×1個
電池寿命 撮影枚数 約185枚
動画実撮影時間 約45分(連続撮影時)
サイズ 幅:127.5mm×高さ:76.0mm×奥行き:78.0mm
質量 約430g(リチウムイオン充電池およびメモリーカード含む)
約380g(リチウムイオン充電池およびメモリーカード除く)
同梱品 リチウムイオン充電池(DNP-100M)
本体充電用ACアダプター(AD-M50300A)
レンズキャップ
クイックスタートガイド(保証書付)

●一般医療機器(クラスⅠ) 特定保守管理医療機器 医療機器届出番号:06B2X10006000003

●主な仕様の内容は2024年3月現在のものです。

●HDMI、HDMI High-Definition Multimedia Interface、HDMIのトレードドレスおよびHDMIのロゴは、HDMI Licensing Administrator, Inc.の商標または登録商標です。

●SD、SDHC、SDXCおよびこれらのロゴは、SD-3C, LLCの商標または登録商標です。

●Wi-Fiは、Wi-Fi Allianceの商標または登録商標です。

●USBは、USB Implementers Forum, Inc.の商標または登録商標です。

製品外観

アクセサリー

フリーアーム付スタンド カメラスタンド CST-100M

カメラスタンドで
操作性・利便性を徹底追求

フリーアーム付スタンド カメラスタンド CST-100M 操作

1,427,800円(税込)

撮影のための操作性を追求したスタンド(別売品/非医療機器)。
フリーアームで観察したい位置に
スムーズにカメラを動かし止めることができます。
コンパクトかつ軽量で取り回しがよく、
移動や収納もしやすい設計です。

カメラスタンド

機能詳細

カメラスタンド

主な仕様

型番 CST-100M
価格 ¥1,427,800(税抜¥1,298,000)
サイズ 使用時 アーム可動範囲:300mm 回転範囲:360°
収納時 直径513mm、高さ924mm
質量 約13.5kg
同梱品 取扱説明書(保証書付)

●主な仕様の内容は2024年3月現在のものです。

実機体験会

同時購入お買い得商品

外陰部などの撮影に便利に使えるダーモカメラ

持ちやすく撮影しやすい、小型・軽量設計

外陰部全体を広範囲に撮影可能

LEDライトによる均一照射で色味を忠実に再現

動画撮影も可能

D’z IMAGE Viewer Cで画像管理が可能

画像管理ソフト

産婦人科向け 画像管理ソフト

PC連携で画像の
管理・観察をより効率的に

無料

コルポカメラ・ダーモカメラで撮影された画像を便利に管理できる
PC用のアプリケーションをご用意。
画像の拡大・変換などが容易に行えます。

多くの画像を簡単に管理

●データの転送方法

Wi-Fiでの転送には、APモード(ダーモカメラとPCを直接無線接続)とSTATIONモード(ルーター経由でダーモカメラとPCを無線接続)があります。自動転送および一括転送に対応。Wi-Fi環境がない場合は、USBケーブルやメモリーカードでのデータ取り込みも可能です。

※USBケーブル、メモリーカードは附属されていません。カメラ本体側のUSB端子は「マイクロUSB」です。

Wi-Fi環境を使ったデータ取り込み

データ取り込み方法

自動転送:コルポカメラ(DZ-C100)で撮影するごとに自動的に転送します
一括転送:[画像を取り込む]ボタンで一括転送します

Wi-Fi環境がない場合のデータ取り込み

データ取り込み方法

インポート機能を使って、指定した場所(ドライブやフォルダー)から取り込みします。

USBケーブルについて

ケーブルはUSB2.0 (Hi-Speed)に準拠し、カメラ側の端子はマイクロ USB Type-Bのものをご使用ください。
データ転送ができない充電専用のケーブルもありますのでご注意ください。

●ID別自動振り分け

IDを入力して撮影した画像は、D’z IMAGE Viewer Cで自動的にIDごとに振り分けて登録されます。

●ファイルのエクスポート

患者IDが紐づけられた画像データを任意のフォルダに出力することができます。

撮影した画像を詳しく観察

●画像表示機能

コルポカメラで撮影された画像を詳しくみることができます。

等倍表示

▶︎

拡大表示

●マーキング機能

画像にマークやテキストを書き込むことができます。

●複数画像表示機能

複数画像を一覧表示。病変の比較などに便利です。

●印刷機能

他の医療機関への紹介、他の医師への検討依頼用に、画像付きの病変情報を印刷することができます。

●画像情報登録機能

画像ごとに、病名、部位、所見などの情報を登録することができます。

●画像検索機能

病名、患者名、年齢、性別などで目的の画像を検索することができます。

●画像出力機能

ID情報を削除して画像データを書き出すことができます。安心して論文等に活用できます。

電子カルテ連携

ダーモカメラ画像管理ソフト D’z IMAGE Viewer Cと連携確認済みの電子カルテシステムおよび画像ファイリングシステムのご案内です。下記リンクボタンよりご確認ください。

電子カルテ等の連携について

操作説明動画

コルポカメラ操作説明動画

全編を再生
動画再生〈全編〉

〈機能別〉に再生する

準備編

準備編

観察編

観察編

撮影編

撮影編

確認編

確認編

収納編

収納編

画像管理ソフト操作説明動画

全編を再生
動画再生〈全編〉

〈機能別〉に再生する

自動転送

自動転送

主な機能

主な機能

カメラスタンド説明動画

開梱編を再生
動画再生〈開梱編〉

ご購入

コルポカメラ+カメラスタンド+ダーモカメラ同時購入
同時購入
商品

コルポカメラ+カメラスタンド+ダーモカメラ同時購入

1,977,800円(税込)

数量:

カートに追加されました

コルポカメラ+カメラスタンド+ダーモカメラ同時購入
同時購入
商品

コルポカメラ+カメラスタンド+ダーモカメラ同時購入

1,977,800円(税込)

コルポカメラ+カメラスタンド同時購入
同時購入
商品

コルポカメラ+カメラスタンド同時購入

1,867,800円(税込)

数量:

カートに追加されました

コルポカメラ+カメラスタンド同時購入
同時購入
商品

コルポカメラ+カメラスタンド同時購入

1,867,800円(税込)

コルポカメラ / DZ-C100

コルポカメラ / DZ-C100

657,800円(税込)

数量:

カートに追加されました

コルポカメラ / DZ-C100

コルポカメラ / DZ-C100

657,800円(税込)

カメラスタンド / CST-100M

カメラスタンド / CST-100M

1,427,800円(税込)

数量:

カートに追加されました

カメラスタンド / CST-100M

カメラスタンド / CST-100M

1,427,800円(税込)

本体充電用ACアダプター / AD-M50300AC

本体充電用ACアダプター / AD-M50300AC

6,600円(税込)

数量:

カートに追加されました

本体充電用ACアダプター / AD-M50300AC

本体充電用ACアダプター / AD-M50300AC

6,600円(税込)

充電器セット / DCS-100M

充電器セット / DCS-100M

46,200円(税込)

数量:

カートに追加されました

充電器セット / DCS-100M

充電器セット / DCS-100M

46,200円(税込)

リチウムイオン充電池 / DNP-100M

リチウムイオン充電池 / DNP-100M

13,750円(税込)

数量:

カートに追加されました

リチウムイオン充電池 / DNP-100M

リチウムイオン充電池 / DNP-100M

13,750円(税込)

「D'z IMAGE」(ロゴ)、「DERMO CAMERA」、「ダーモカメラ」はカシオ計算機株式会社の登録商標です。
© CASIO COMPUTER CO., LTD.